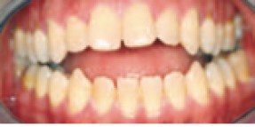
Open Bite? It could be Idiopathic Condylar Resorption!

An anterior open bite can have many contributing factors. One very troubling cause is when they bony condyle or


top of mandible in the TMJ starts to disappear for no clear reason. Thus it is called “Idiopathic


Condylar Resorption” or ICR. This research link showed that 25 of the 27  females with ICR in the study had low levels of 17β-estradiol. This could be associated with taking birth control


pills. If you are a female with an anterior open bite and on “the pill”, you may want to get your 17β-estradiol checked.


http://www.sciencedirect.com/science/article/pii/S0889540609008142


The post Open Bite? It could be Idiopathic Condylar Resorption! appeared first on TMJ Healing Plan.

 •  0 comments  •  flag
Share on Twitter
Published on July 07, 2017 14:28
No comments have been added yet.


Cynthia Peterson's Blog

Cynthia Peterson
Cynthia Peterson isn't a Goodreads Author (yet), but they do have a blog, so here are some recent posts imported from their feed.
Follow Cynthia Peterson's blog with rss.