Marc Abrahams's Blog, page 380
September 5, 2014
Tonight: The official USA launch of This Is Improbable Too
Join us tonight — Friday, September 5, at Harvard Bookstore in Cambridge, for the official launch of my new book This Is Improbable Too.
I and several members of the Ig Nobel gang — Robin Abrahams, Gary Dryfoos, Melissa Franklin, Corky White — will do brief dramatic readings from studies I wrote about in the book.
You can get This Is Improbable Too from Harvard Bookstore, as well as most other good bookstores, and also from Amazon and the other mysterious online booksellers.
The book has gotten nice reviews in USA Today, Wall Street Journal, the Boston Globe, I and it have been bobbing around radio land, on The Bob Edwards Show, Radio Boston, The Marilu Henner Show, and others. More is on the way, including a journey to the fabled radio land of Neil deGrasse Tyson’s Star Talk Radio.
The review I’m proudest of is the one in England’s Daily Mail, which said the book is “almost dementedly inconsequential.”

How to manage the majority of body-packers?
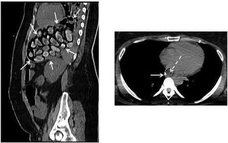
How can the majority of body-packers be managed? This study claims to answer that question:
“Oesophageal and gastric obstruction in a cocaine body packer,” P. Hantson, A. Capron, J.-F. Maillart, Journal of Forensic and Legal Medicine, epub August 29, 2014. (Thanks to investigator Ivan Oransky for bringing this to our attention.) The authors, at Université Catholique de Louvain, Brussels, Belgium, report:
Most of the patients can be managed conservatively by oral laxatives….
The majority of the body-packers will remain asymptomatic and can be managed as outpatients.
Here’s further detail from the study:
BONUS: A different, nearly unrelated variety of body-packing: The man who lost his leg and gained a floor lamp

September 4, 2014
2010 Ig Nobel Chemistry Prize winner found guilty in court case
British Petroleum, an Ig Nobel Prize winner, was found guilty in a court trial. Bloomberg News reports:
BP Found Grossly Negligent in 2010 Spill; Fines May Rise
BP Plc acted with gross negligence in setting off the biggest offshore oil spill in U.S. history, a federal judge ruled, handing down a long-awaited decision that may force the energy company to pay billions of dollars more for the 2010 Gulf of Mexico disaster.
U.S. District Judge Carl Barbier held a trial without a jury over who was at fault for the environmental catastrophe, which killed 11 people and spewed oil for almost three months into waters that touch the shores of five states…. “BP’s conduct was reckless,” Barbier wrote in a decision today in New Orleans federal court….
The 2010 Ig Nobel Prize in Chemistry was awarded to Eric Adams of MIT, Scott Socolofsky of Texas A&M University, Stephen Masutani of the University of Hawaii, and BP [British Petroleum], for disproving the old belief that oil and water don’t mix. [REFERENCE: "Review of Deep Oil Spill Modeling Activity Supported by the Deep Spill JIP and Offshore Operator’s Committee. Final Report," Eric Adams and Scott Socolofsky, 2005. NOTE: Copies of this report appear to have been removed to places that are difficult for most people to access.]

When are World Standards Day?
The world is still trying to standardize World Standards Day.
This year, 2014, World Standards Day is October 14. That’s according to ISO, the International Organization for Standards. The USA, though, will celebrate World Standards Day over a four-day-long span that begins on October 20 and ends on October 24. That’s according to the American Standards Institute (ANSI)….
So begins another Improbable Innovation nugget, which appears in its entirety on BetaBoston.

Librarian-titillation TV
The Harold B. Lee Library, at Brigham Young University, is a premier producer of titillating television programs for librarians.
This program, called “The Many Stations of Book Preservation,” is no less than eight minutes, twenty-five seconds of variegated stimulation for persons who find hope or dread in the perils and pitfalls of book decay, destruction, or preservation.
It is no more than eight minutes, twenty-five seconds of variegated stimulation for persons who find hope or dread in the perils and pitfalls of book decay, destruction, or preservation.
It is exactly eight minutes, twenty-five seconds of variegated stimulation for persons who find hope or dread in the perils and pitfalls of book decay, destruction, or preservation.
BONUS: Ennui amongst Chinese librarians
BONUS: Happy workers (and Slough, too)

Ig Nobel Night in the Netherlands (two nights after the ceremony!)
For the third year, there will be a special Ig Nobel Night in the Netherlands, featuring live performances and then a group viewing (on a big screen in a beautiful theatre) of the recorded 2014 Ig Nobel Prize ceremony.
Ig Nobel Prize winner Kees (the homosexual-necrophilia-in-the-mallard-duck guy) Moeliker will be on hand. So, too, will one of this year’s new (not to be announced until the Ig Nobel ceremony itself happens!) Ig Nobel Prize winners. So will a glittering array of glamorous Dutch science celebrities.
WHAT: De Nederlandse Ig Nobel Night
WHEN: Saturday night, September 20, 7:30 pm (European central time)
WHERE: Stadsgehoorzaal Leiden
REMINDER: The 2014 Ig Nobel Prize Ceremony itself happens on Thursday night, September 18, at Harvard University, in the USA. The ceremony will be webcast live, beginning at 6:00 pm USA eastern time —that’s midnight in most of Europe.

September 3, 2014
Some of the people behind the Ig Nobel Prize ceremony
As September arrived, preparations for the 24th First Annual Ig Nobel Prize ceremony kicked into highest gear. The ceremony (and live webcast) happen on Thursday night, September 18, starting at 6:00 pm (US eastern time).
Click on the image below to see many (though not all!) of the people who are putting the ceremony together:

Hospital study pushes the buttons of bacteria-phobes
Canadian elevator buttons just might hold the key to a return in popularity for the “anti-microbial” cleaning products industry.
Recently, three doctors in Toronto wrote a little study about the bacteria they found on hospital elevator buttons. The great washed public, reading that report (or scary reports about that report — maybe scarier than the one you are reading right now), might develop a renewed yearning for products that claim to wipe out scary bugs.
So-called bacteria-killing soaps, lotions, and other cleaners no longer have the glow of robust commercial enthusiasm they enjoyed, for a time…
So begins another Improbable Innovation nugget, which appears in its entirety on BetaBoston.

Cyanide moths – ok snack for kids
Some types of moth, notably the Zygaena genus, can contain significant quantities of cyanide, raising the question ‘Is it a good idea to eat them?’
The question has particular relevance since the moths are a traditional favourite snack amongst children from the Carnia region of Italy. The children like to eat the moths´ingluvies (roughly equivalent to a bird´s crop) which contain liquids rich in sugars called glucosides.
Unfortunately the glucosides are also cyanogenic, in that they release toxic hydrogen cyanide on degradation. A joint research team from Denmark and Italy have examined the ingluvies, and thankfully, can reassure those who eat them. The team found that :
“ [...] children would have to eat a minimum of 5000 ingluvies or 170 whole moths in a short time period to receive a minimum deadly dose. The average human adult, weighing 75 kg, would have to eat at least 20,000 ingluvies.”
Their paper Toxic Moths: Source of a Truly Safe Delicacy was published in the Journal of Ethnobiology 29(1): 64–76 Spring/Summer 2009.

September 2, 2014
Do not print?
Marc Abrahams's Blog
- Marc Abrahams's profile
- 14 followers
