Fantasy Buddy Reads discussion
This topic is about
The Perfect Run
Book Clubs!
>
Vagabond Treehouse ~ [Fall 2025: World of Chains #1-3 (Wayward Bard) | The Perfect Run 1-3 (alternating)]
message 301:
by
Monika
(new)
Feb 05, 2024 11:28PM
@Soo looks like you still didn't have chance to start our book 😄. I started book #3 of The Belgariad on top of it 🤣.
reply
|
flag
Monika wrote: "@Soo looks like you still didn't have chance to start our book 😄. I started book #3 of The Belgariad on top of it 🤣."🤣 I wanted to finish The Green Tea’s Crushing Victories in the ’70s. It took a day longer than expected and was busy with life stuff. Finished Green Tea. It had a great hidden plot line for trauma induced schizophrenia and a fun romance.
Starting Book of Night now. 🥸
Will post thoughts in spoilers. 🎵🎶🎵🤸♀️
So many of the LNs you read sound interesting, but I'm only on the market for audiobookable stuff...
I almost reached 2/3 of #3 of Belgariad. Would read more, but.. real life needed my attention as well 😂. Bit of sweet bread baking today and chat with friend 😁.
Timelord Iain wrote: "So many of the LNs you read sound interesting, but I'm only on the market for audiobookable stuff..."The review for Green Tea. Sadly, I would need to edit the heck out of translated story for it to be readable for most masses. 🤣🥸🤸♀️
https://www.goodreads.com/review/show...
Monika wrote: "I almost reached 2/3 of #3 of Belgariad. Would read more, but.. real life needed my attention as well 😂. Bit of sweet bread baking today and chat with friend 😁."Ooo baked noms. 🤸♀️
The pain dropped down to normal twinges... got my followup scheduled fast, had it this morning...
Got to see the XRay... fracture is diagonal, near the topmost knuckle headed down towards main foot... didn't effect joint... nearly 1 month into 3 month healing timeframe...
Given light work, when I return to work Thursday, mostly sitdown work... wear the Ortho boot for 2 weeks, then start transitioning back to regular shoes/etc... return to regular work in 2-4 weeks (documents say 4 weeks but I can change it if I feel ready for regular work sooner with a phone call and document pickup)... followup in 1 month with new xrays 15 minutes prior to appointment...
I think the fracture is partially healed after 3-4 weeks, and I just overtaxxed it or did something to it that led to alot of swelling & pain... taking it easy should help with the healing going forward...
Was told to expect some stiffness in top toe knuckle, even after fully healed, but shouldn't affect life much... kinda like the pinkie I probably fracture 13-14 years ago... I never went to doctor, not sure I was on insurance yet, but it definitely healed different... bone sticks out a bit towards ring finger at the knuckle closest to palm... been like that ever since... if you compare hands, the last chunk of the pinky is noticeably wider...
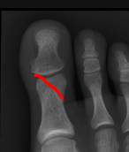
EDIT: I made this example image, using google search results and a red digital pen, to show what I saw in the XRay, basically, to show someone else:

Red line = fracture line...
Got to see the XRay... fracture is diagonal, near the topmost knuckle headed down towards main foot... didn't effect joint... nearly 1 month into 3 month healing timeframe...
Given light work, when I return to work Thursday, mostly sitdown work... wear the Ortho boot for 2 weeks, then start transitioning back to regular shoes/etc... return to regular work in 2-4 weeks (documents say 4 weeks but I can change it if I feel ready for regular work sooner with a phone call and document pickup)... followup in 1 month with new xrays 15 minutes prior to appointment...
I think the fracture is partially healed after 3-4 weeks, and I just overtaxxed it or did something to it that led to alot of swelling & pain... taking it easy should help with the healing going forward...
Was told to expect some stiffness in top toe knuckle, even after fully healed, but shouldn't affect life much... kinda like the pinkie I probably fracture 13-14 years ago... I never went to doctor, not sure I was on insurance yet, but it definitely healed different... bone sticks out a bit towards ring finger at the knuckle closest to palm... been like that ever since... if you compare hands, the last chunk of the pinky is noticeably wider...
EDIT: I made this example image, using google search results and a red digital pen, to show what I saw in the XRay, basically, to show someone else:

Red line = fracture line...
Eh, that's kind of serious. You should stick to recommended time table. Only way you will know for sure how the bone is healing is to get xray. So, if you can, probably good to get examined first if you want to speed up time table.
Way back when I fractured my foot and I thought it was a sprain, it was already healing on it's own, but the fracture wasn't flushed together. Had to get surgery for pin in foot. Had the whole deal with cast + crutches, then boot and etc.
Be good to your body. Eat healthy noms, rest and heal up strong 👌🤸♀️
@Iain chill, give your toe a time to heal. Work not run away 😉. @Soo I baked challah and some cinnamon buns 😋. My boys (and me) have sweet tooth 😂. Dentist appointment for me tomorrow tho...
Adored Koi in the 70s 🤣🤣🤣Ch6: The more Wan Chun Ju thought about it, the more displeased she became. It was just that she didn't dare to stand up against her mother-in-law. Mother-in-law can kill a wild boar with a punch. If she stood up, wouldn't it be seeking death?
Qiao Zhen Guo (Ju's husband) came back from outside. His gaze swept across the pot-black face of Wan Chun Ju. He turned around and simply pretended that he didn't seen it.
Wan Chun Ju's face became darker: "Did you not see I'm not happy?"
Qiao Zhen Guo froze for a moment, scratching his forehead and responded, "Which day have you been happy? Besides, your face is naturally as black as a black mountain pig. Who can tell if you are happy or unhappy?"
WCJ: ...
WCJ almost vomited blood. What kind of man did she find (marry)? Only piss her off!
🤣🤣🤣
Later in Ch7
QZG to WCJ: "Mom can give the eggs to whomever she want. You have hands and feet and still want to take old peoples things. Is your heart blinded by lard?"
🤣🤣🤣
Have hands and feet is part of a saying that as long as you have a working body, you can work hard to live, etc.
Blinded by lard! 🤣🤣🤣
Monika wrote: "@Iain chill, give your toe a time to heal. Work not run away 😉. @Soo I baked challah and some cinnamon buns 😋. My boys (and me) have sweet tooth 😂. Dentist appointment for me tomorrow tho..."
Ooo sounds tasty!
Re dentist 🤣 Brush and floss + gargle . Hahha~
All that nice re dentist @Soo, unfortunately for me part of my tooth decided to crack and fell, so repair job awaiting. Dentist is nice and competent man, but I'm not exactly fan of needles and other tools.
I'll feel 100% calmer about everything, once Leave of Absence Claims Management is 100% sorted, and I return to work and get assigned duties to fill my day, and know I'm not being screwed / losing my job for some reason...
I'm a stresser, in these situations... probably why I worked on an injured toe for 3 weeks, instead of visiting doctor day 2... meanwhile I watch coworkers disappear and go on leave every other month like a revolving door to avoid being fired for attendance, and management bends over backwards to accomodate them returning to work with an LOA...
*shrug*
I'm a stresser, in these situations... probably why I worked on an injured toe for 3 weeks, instead of visiting doctor day 2... meanwhile I watch coworkers disappear and go on leave every other month like a revolving door to avoid being fired for attendance, and management bends over backwards to accomodate them returning to work with an LOA...
*shrug*
Yikes... I'm glad to hear your foot feels better and has a plan, Iain! I hope your tooth repair goes smoothly, Monika...I'm going to be going around extra carefully for the next few weeks so as not to add to the excitement... *searches for wood to knock on...*
Timelord Iain wrote: "I'll feel 100% calmer about everything, once Leave of Absence Claims Management is 100% sorted, and I return to work and get assigned duties to fill my day, and know I'm not being screwed / losing ..."Glad it's getting better pal! I am slumping hard on some books. Paladin's Grace killed me., I just could not get into it. Mostly an awkward love story that took forever to push the plot foward. Maybe it's my mood but it killed my motivation.
Looks like I've made my February more manageable, by dropping Stephanie Plum, and the regional availability issues of Voyage of the Damned
@Nirkatze always something 😁. Blaming my age 🤣. Planning to finish Book of Night today - I'm bit behind my plan this month 😂.
Fingers and toes crossed for that 😁. Going for my round around the town, hopefully will find some books from my long list 😂. Love charity shops me 😊.
I posted a Toe Update in the Self-Promotions folder, since I talked about it all over the place, the past 5 days... seemed fun/funny... I'm talking about myself after all...
Started Cinnamon Bun 2... iirc, the first one ended on a literal cliffhanger... MC took an airship to a big city, and the town shot arrows/bullets at them, and they had to abort the landing and fly out into the desert...
Book 2 picks up where book 1 left off... Broccoli Bunch and new-ish adventuring friend Amaryllis go to the ship captain's family home, make some "friends" and quickly decide to consensually kidnap the oldest daughter, to help her live her dreams of becoming a mechanic/adventurer, instead of a noblewoman/wife of a Duke...
We'll see where things go from here...
BB want to evolve her Cute skill into Cool, somehow... she gets so hung up on her cutesy skills sometimes... the one time she managed to evolve her Cute skill in book 1, she declined, because it turned out to be a seductress type deal...
Book 2 picks up where book 1 left off... Broccoli Bunch and new-ish adventuring friend Amaryllis go to the ship captain's family home, make some "friends" and quickly decide to consensually kidnap the oldest daughter, to help her live her dreams of becoming a mechanic/adventurer, instead of a noblewoman/wife of a Duke...
We'll see where things go from here...
BB want to evolve her Cute skill into Cool, somehow... she gets so hung up on her cutesy skills sometimes... the one time she managed to evolve her Cute skill in book 1, she declined, because it turned out to be a seductress type deal...
Book of Night - done! This one was something different then my usual reads. I do like main character here. Deffo adult book. Interesting.
LOL I love that your Toe Updates are now Self Promotion, Iain.Cinnamon Bun is on my TBR... but no space right now...
So, I was just reading an article talking about dreamcasting the Best Served Cold upcoming adaptation, and it started with this line: "Say one thing for Joe Abercrombie's First Law series, say it's ripe for adaptation." Made me laugh.https://winteriscoming.net/posts/let-...
Nirkatze wrote: "So, I was just reading an article talking about dreamcasting the Best Served Cold upcoming adaptation, and it started with this line: "Say one thing for Joe Abercrombie's First Law s..."Oooh I hope that we actually will get that movie! Not sure I agree with Bill Skaarsgard of all people for Shivers though...
The article mentioned seeing him in something recently where he had the physicality for it... made me want to look up pictures... okay, looked him up in Boy Kills World and he certainly has muscles on top of muscles, but is still a rather slender person, I do imagine Shivers as more thickly solid...
Hmmm... Seems like our imagination is very different then filmmakers. They're just putting there big, muscle guys there who looks but seems 'tick' and need women to think for them... I stopped watching movies years ago, they're damaging characters from books in too many ways...
They’re picking actors that sell movie tickets, not accurate representations… it’s like when Tom Cruise played Jack Reacher, a 6ft 4in army cop vet in the 2 movies… Alan Ritchson in the show is much more accurate…
True Iain... That's too... Shame... Cause writers are giving us characters descriptions and we can easily imagine them... That's why I'm hardly watching movies based on books.
The only person cast is Rebecca Ferguson--all the others are just the writer's dreamcasting. I think Ferguson would be great as Monza, after seeing her in Dune...
Monika wrote: "Book of Night - done! This one was something different then my usual reads. I do like main character here. Deffo adult book. Interesting."I'm alive! *slow jog around Vagabond* Been busy with work and unexpected hijinx.
Book of Night - I liked the poem & prologue setting stage for story. Iffy on Charlie.
Re-started from beginning. Will finish in a few hours.
Book of Night Ch7: Everyone should be questioning this and I just can't see Charlie saying yes to this crap show.
Book of Night Ch13: Vince is more interesting than Charlie. Mostly cause I'm not a fan of the past flashback insertions.The story narrative voice sounds a lot like Seanan McGuire & Wayward Children.
I don't remember much of Book of Night except that I enjoyed the ride. I can't say that I felt particularly attached to the characters, but the mystery and hints were fun, and I'm curious to see what's next.
Reading The Honk and Holler Opening Soon now, for a local book club on Friday. My best friend picked it, and so I'm hopeful I'll enjoy, as it's one of her favorites. She likes cozy slice-of-life with some romance and a happy ending... so far I'm enjoying, starting to get a found-family vibe going on.
Book of Night Ch19: Perfect Description for Charlie She was the exact same Charlie Hall she'd always been. Messy. Impulsive. Alone.
@Nirkatze, hope ya enjoy the story.
Book of Night - Done! Started with audio, got ebook and read to end. Yay for Libraries!- I figured out what was gonna happen around 55-60%.
- Vince is cool. Everyone else sucks.
- Terrible transitions between 1st & limited 3rd POV.
- I liked the flashback contents, but I didn't like where they were put into story.
- Lots of out of character dialogue and actions made me want to throw my non-exisiting book. 😆
Love the book title, cover, spin on shadow magic and solid ending.
🙄 Charlie is to be 27 years old. YEAH! I corrected the age to 20. 😆
Oh! I thought the story was written like a shoddy game of clue. Also, I would tag this as NA Horror. 🤭
Finished Honk & Holler. It was a very sweet read. Very found family, and of a very diverse group of people in a part of the U.S. that isn't known for being accepting of diversity. I really liked the way it dealt with all the different people--never lingering on the aspect of them that would be a "diverse" descriptor, but it just being a part of the story. And the whole town coming together to fold them all into the town family.I don't like stories that have surprise baby plotlines, and there was MORE THAN ONE in this book, so that did bother me, but they fit with the story. I was also rather bummed that there were multiple plot threads left untangled by the end--pretty much just the MC couple got complete closure, and everyone else just on the hinting road to it--but I can see that as a deliberate choice by the author to wrap things up in a way that shows life still goes on, and while one story might have reached a happy point--it's not an ending, just a good place to leave the story. And life goes on.
Books mentioned in this topic
The Art of Diploma-Bee: A Dungeon-Core LitRPG (other topics)The Bears and the Bees: A Dungeon-Core LitRPG (other topics)
The Bee-ginning: A Dungeon-Core LitRPG (other topics)
Arrival (other topics)
Christmas Core (other topics)
More...
Authors mentioned in this topic
Nathan Lowell (other topics)Nathan Lowell (other topics)
Nina Bangs (other topics)




