Derren Brown's Blog, page 56
December 9, 2010
The Polly Wants a Christmas Cracker Xmas Prize Draw Ends Tomorrow!
Just a reminder that the 'Polly Wants a Christmas Cracker Prize Draw' Ends Tomorrow (10th)!
If anyone fancies a chance of winning some fantastic Derren Brown prizes then pop over to The Parrot Zoo's website and enter the draw.
www.parrotzoo.com/polly
Thanks to those who have already entered.
Good luck!
December 8, 2010
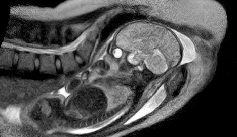
Baby's brain scan during birth
A team comprised of obstetricians, radiologists and engineers have built an "open" MRI scanner that allows a mother-to-be to fit fully into the machine and give birth there, the hospital announced on Tuesday.
The MRI (magnetic resonance imaging) scanner has already taken unique images of the body of a mother and the movement of her baby through the birth canal to the point where its head emerges into the world. The birth that took place in the scanner went smoothly and both mother and baby were in good health, a hospital spokeswoman said.
More at The Local
If you can teach computers to learn, NASA needs your help.
Sometimes the distortions are obvious, like in the Hubble image of a distant galaxy cluster above. But sometimes they're too subtle to be picked out by human eyes, and can even be confused with noise from the telescope used to take the galaxies' picture. So cosmologists have turned to machine learning algorithms that teach computers to recognize patterns.
"We're trying to teach computers to pick out the correct shape given all sorts of other noise around the galaxy's shape," said NASA cosmologist Jason Rhodes, who is helping to organize the challenge. "We have our ideas as a community about how to do this, but we realized a few years ago that it was quite possible there were ideas we weren't familiar with."
The competition is designed to bring fresh ideas from machine learning and computer science experts. But the challenge is open to anyone.
Full details at Wired
Worshipping Baby
This interesting video is doing the rounds and is being described as a clear case of embedded cultural behaviour. We think it's just a bit weird and at the same time funny.
Better than a snowman
40 Breathtaking Closeup Photographs Of Animals
"Wildlife photography is regarded as being one of the most challenging forms of photography. It involves a thorough understanding of the behavior of animals and in addition to it, one needs to have sound technical skills, such as being able to expose in the right manner. Its all about being in the right place at the right time.
Surprisingly enough, photographing some species may require stalking skills or the use of a camouflage as well. Whilst wildlife photographs can be taken using basic equipment, successful photography of some types of wildlife requires specialist equipment, such as macro lenses for insects, long focal length lenses for birds and underwater cameras for marine life. However, since the advent of digital cameras and the never ending quest for adventures, this practice has evolved into totally new heights.
From what I've seen, wildlife photography is definitely one of the most dangerous forms of photography. A photographer who uses good exposure, color and blur settings along with appropriate shutter speed and focusing techniques can produce stunning photographs. One not only needs the right equipment, but also the courage and the audacity to push himself beyond his limits. As a result, wildlife photographers need to be agile and vigilant as much as possible. Even though we appreciate the end result, its definitely an understatement to say that these photographers have done a stunning job. They are absolutely marvelous and so are their photographs."
Head over to Rich Works to see the other 49 photos (Thanks @XxLadyClaireXx)
Spanish Woman Claims to Own the Sun
"Would you want to own a property that's older than the dinosaurs? Along the lines of billions of years old? Well, a woman in Spain has laid claim to the sun.
Yes, you read that correctly: THE sun in the sky — the 4.5-billion-year-old celestial giver of light and heat and well, life to all things on Earth, is now owned by Angeles Duran, or so she asserts after legally registering our closest star with a notary public, the global news agency Agence France-Presse reports.
Duran told the Spanish newspaper El Mundo that she decided to try to become the sole owner of the sun when she heard about how Nevada entrepreneur Dennis Hope posted a similar claim in 1980 with the United Nations for ownership of the moon and proceeded to sell acres of lunar real estate — not exactly a traditional holiday stocking stuffer.
Hope has so far sold more than 2 million 1-acre slabs of the moon, which he offers for $22.49 on his Lunar Embassy website. He's even expanded his available properties to include prime areas of Mercury, Venus and Mars.
In her quest to own the sun, Duran has used the same loophole as Hope by getting around the United Nations Outer Space Treaty, adopted in 1967, that stipulates "outer space is not subject to national appropriation by claim of sovereignty, by means of use or occupation, or by any other means.""
Read more at AOL News (Thanks @XxLadyClaireXx)
Brain's Architecture Makes Our View of the World Unique
"Wellcome Trust scientists have shown for the first time that exactly how we see our environment depends on the size of the visual part of our brain. We are all familiar with the idea that our thoughts and emotions differ from one person to another, but most people assume that how we perceive the visual world is usually very similar from person to person. However, the primary visual cortex — the area at the back of the brain responsible for processing what we see in the world around us — is known to differ in size by up to three times from one individual to the next.
Now, researchers at the Wellcome Trust Centre for Neuroimaging at UCL (University College London) have shown for the first time that the size of this area affects how we perceive our environment. Their study is published online December 5 in the journal Nature Neuroscience. Dr D Samuel Schwarzkopf, Chen Song and Professor Geraint Rees showed a series of optical illusions to thirty healthy volunteers. These included the Ebbinghaus illusion, a well-known illusion in which two circles of the same size are each surrounded by circular 'petals'; one of the circles is surrounded by larger petals, the other by smaller petals. Most people will see the first circle as smaller than the second one
In a second optical illusion, the Ponzo illusion, the volunteers were shown two identically sized circles superimposed onto the image of a tunnel. In this illusion, the circle placed further back in the tunnel appears larger than that placed near the front. By adapting these illusions, the researchers were able to show that individual volunteers saw the illusions differently. For example, some people saw a big (although illusory) difference in size between the two circles, but others barely saw any difference in apparent size."
Read more at Science Daily (Thanks Stephen)
December 7, 2010
Spelling Matters
"Is spelling irrelevant? Is letter placement overrated? We got an email that says it is."
(Thanks Richard and Mark)
What Would Happen If Every Element On The Periodic Table Came Into Contact Simultaneously?
"There are two ways to go about testing this, neither of which are practical. One requires the energy of dozens of Large Hadron Colliders. The other could yield a cauldron-full of flaming plutonium. Both, however, would probably create carbon monoxide and a pile of rust and salts rather than a cool Frankenstein element.
If you toss single atoms of each element into a box, they won't form a super-molecule containing one of everything, explains Mark Tuckerman, a theoretical chemist at New York University. Atoms consist of a nucleus of neutrons and protons with a set number of electrons zooming around them. Molecules form when atoms' electron orbitals overlap and effectively hold the atoms together. What you get when you mix all your atoms, Tuckerman says, will be influenced by what's close to what.
Oxygen, for example, is very reactive, and if it is closest to hydrogen, it will make hydroxide. If it is nearest to carbon, it will make carbon monoxide. "That random reactive nature applies to pretty much all elements," Tuckerman says. "You could run this experiment 100 times and get 100 different combinations." Certain elements, such as the noble gases, wouldn't react with anything, so you'd be left with those and a few commonly found two- and three-atom molecules.
Ramming the atoms together at 99.999 percent the speed of light—the top speed of particles in the Large Hadron Collider, at the CERN particlephysics lab near Geneva—might fuse a few nuclei, but it won't make that cool Frankenstein element. More likely, they would meld into a quark-gluon plasma, the theoretical matter that existed right after the universe formed. "But they would last for a fraction of a second before degrading," Tuckerman says. "Plus, you'd need 118 LHCs—one to accelerate each element—to get it done.""
Read more at Pop Sci (Thanks @XxLadyClaireXx)
Derren Brown's Blog
- Derren Brown's profile
- 797 followers
