Roy A. Meals's Blog, page 4
May 1, 2022
A Medieval Fashion Foisted Falls and Fractures
The first shoe? Not much of a fashion statement.Crudely made grass-lined moccasins may have been the first foot protection worn by humans starting as far back as 20 to 40 thousand years ago.

.
Fashion pressures eventually prevailed, and shoe design took a great step forward in about 1400. For the next 150 years it was trendy among the European upper classes to wear ornately embroidered shoes with extremely pointed toes, which extended beyond the owner’s foot anywhere from four to twenty inches. These were known as Crakows, which reflected their likely origin from Krakow, Poland. Crakows were high fashion for both men and women and were a key element in demonstrating the owners’ social rank—the longer the toe, the higher the status. At times, a silver or gold chain reaching from knee to shoe tip was used to keep the wearer from tripping. However, this deference to style came with a hidden price. The shoes wedged the toes together unnaturally, which led to bunions and fractures.
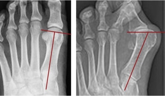
Left: normal alignment Center and Right: laterally deviated big toeFirst, what is a bunion? Known in medicalese as hallux valgus, it is a deviation of the big toe (hallux in Latin). Rather than pointing straight ahead, the big toe points toward the outside of the foot. Accompanying the angular deformity is a large bump in the inside of the foot at the base of the big toe. In extreme cases, the big toe angles sufficiently that it overlaps the second or even the third toe. Genetics, variations in alignment of adjacent bones, and muscle imbalance can predispose an individual to hallux valgus, but the most common cause is wearing pointy-tipped shoes that unnaturally scrunch the toes together and push the big toe to the side. In medieval times, Crakows were culprits. Louboutin’s are today.
Next, how do bunions relate to fractures? The big toe contributes greatly to balance and gait, and individuals with hallux valgus have diminished standing stability and increased postural sway compared to those with normally aligned toes. This detrimental influence on gait results in increased risks of falling and breaking bones.
Finally, how do we know that medieval fashionistas had bunions and broken bones? The answer comes from an intriguing study published last year in the International Journal of Paleopathology. In case you are behind in your journal reading, here is the gist of the investigation.
The researchers examined the skeletal remains of 177 adult individuals who had been buried in one of four cemeteries located in or near Cambridge, England. The oldest cemetery was at Cherry Hinton, which was an agricultural center. Burials there started about 950 and continued for 200 years, and the researchers assumed the exhumed skeletons to be those of the local, rural peasants. For the study, the skeletons from Cherry Hinton served as historic controls, since Crakows were not in style when this cemetery was accepting bodies.
Two middle groups were sensibly shod even though they lived when Crakows were the rage. The Hospital of St. John the Evangelist cared for the poor and infirm, so logically its cemetery served the same demographic. The parishioners of All Saints by the Castle were apparently a cross-section of Cambridge social classes, so the church’s cemetery logically represented a similar mix, and Crakows were not likely prevalent.
The fashionistas comprised the fourth group, and they might have even been buried with their Crackows on. Their cemetery was at an Augustinian friary, which was the resting place not only for members of the Augustinian order, who drew criticism for wearing “fashionable tight shoes,” but also for prosperous Cambridgians whose donations secured them preferred burial plots.
Left: normal alignment with the joint at the base of the big toe aligned perpendicular to the long axis of the foot. Right: a tilted joint surface indicates a bunion even if the skeleton is no longer intact.Using standard anthropological means, the investigators categorized each skeleton according to its age at death and its sex. They next scrutinized the foot bones for telltale signs of bunions. These findings include an angular shift of the joint surface at the big toe’s base along with bony erosions and altered ridging and lipping, which are characteristic findings of chronic joint malalignment. Finally, the researchers examined the entirety of each skeleton for healed fractures.
Data analysis showed that 45% of the friars and 40% of layfolk buried at the friary had bunions, while only 3% of the Cherry Hinton peasants did. The sensibly shod had intermediate incidences of bunions. Furthermore, the investigators discovered that individuals, particularly older folk, with hallux valgus had sustained significantly more broken bones than had individuals with straight toes.
Allowing for some assumptions and circumstantial evidence, the study concludes that wearing Crakows caused wealth-induced bunions, which created gait and balance problems that led to falls and fractures—all recorded in the bones.
Falls and fractures, however, may not have been the cause of the fad’s demise. Rather the English eventually deemed Crakows indecent, and a law prohibited shoe tips longer than two inches. In France, King Charles V ruled against them because Crakows made kneeling for prayer difficult.
For safety, should we revert to grass-lined moccasins or just stick with sensible shoes?
Always a good way to rest your feet. At your favorite bookseller.The post A Medieval Fashion Foisted Falls and Fractures appeared first on About Muscle and Bone.
Medieval Fashion Foisted Falls and Fractures
The first shoe? Not much of a fashion statement.Crudely made grass-lined moccasins may have been the first foot protection worn by humans starting as far back as 20 to 40 thousand years ago.

.
Fashion pressures eventually prevailed, and shoe design took a great step forward in about 1400. For the next 150 years it was trendy among the European upper classes to wear ornately embroidered shoes with extremely pointed toes, which extended beyond the owner’s foot anywhere from four to twenty inches. These were known as Crakows, which reflected their likely origin from Krakow, Poland. Crakows were high fashion for both men and women and were a key element in demonstrating the owners’ social rank—the longer the toe, the higher the status. At times, a silver or gold chain reaching from knee to shoe tip was used to keep the wearer from tripping. However, this deference to style came with a hidden price. The shoes wedged the toes together unnaturally, which led to bunions and fractures.
Left: normal alignment Center and Right: laterally deviated big toeFirst, what is a bunion? Known in medicalese as hallux valgus, it is a deviation of the big toe (hallux in Latin). Rather than pointing straight ahead, the big toe points toward the outside of the foot. Accompanying the angular deformity is a large bump in the inside of the foot at the base of the big toe. In extreme cases, the big toe angles sufficiently that it overlaps the second or even the third toe. Genetics, variations in alignment of adjacent bones, and muscle imbalance can predispose an individual to hallux valgus, but the most common cause is wearing pointy-tipped shoes that unnaturally scrunch the toes together and push the big toe to the side. In medieval times, Crakows were culprits. Louboutin’s are today.
Next, how do bunions relate to fractures? The big toe contributes greatly to balance and gait, and individuals with hallux valgus have diminished standing stability and increased postural sway compared to those with normally aligned toes. This detrimental influence on gait results in increased risks of falling and breaking bones.
Finally, how do we know that medieval fashionistas had bunions and broken bones? The answer comes from an intriguing study published last year in the International Journal of Paleopathology. In case you are behind in your journal reading, here is the gist of the investigation.
The researchers examined the skeletal remains of 177 adult individuals who had been buried in one of four cemeteries located in or near Cambridge, England. The oldest cemetery was at Cherry Hinton, which was an agricultural center. Burials there started about 950 and continued for 200 years, and the researchers assumed the exhumed skeletons to be those of the local, rural peasants. For the study, the skeletons from Cherry Hinton served as historic controls, since Crakows were not in style when this cemetery was accepting bodies.
Two middle groups were sensibly shod even though they lived when Crakows were the rage. The Hospital of St. John the Evangelist cared for the poor and infirm, so logically its cemetery served the same demographic. The parishioners of All Saints by the Castle were apparently a cross-section of Cambridge social classes, so the church’s cemetery logically represented a similar mix, and Crakows were not likely prevalent.
The fashionistas comprised the fourth group, and they might have even been buried with their Crackows on. Their cemetery was at an Augustinian friary, which was the resting place not only for members of the Augustinian order, who drew criticism for wearing “fashionable tight shoes,” but also for prosperous Cambridgians whose donations secured them preferred burial plots.
Left: normal alignment with the joint at the base of the big toe aligned perpendicular to the long axis of the foot. Right: a tilted joint surface indicates a bunion even if the skeleton is no longer intact.Using standard anthropological means, the investigators categorized each skeleton according to its age at death and its sex. They next scrutinized the foot bones for telltale signs of bunions. These findings include an angular shift of the joint surface at the big toe’s base along with bony erosions and altered ridging and lipping, which are characteristic findings of chronic joint malalignment. Finally, the researchers examined the entirety of each skeleton for healed fractures.
Data analysis showed that 45% of the friars and 40% of layfolk buried at the friary had bunions, while only 3% of the Cherry Hinton peasants did. The sensibly shod had intermediate incidences of bunions. Furthermore, the investigators discovered that individuals, particularly older folk, with hallux valgus had sustained significantly more broken bones than had individuals with straight toes.
Allowing for some assumptions and circumstantial evidence, the study concludes that wearing Crakows caused wealth-induced bunions, which created gait and balance problems that led to falls and fractures—all recorded in the bones.
Falls and fractures, however, may not have been the cause of the fad’s demise. Rather the English eventually deemed Crakows indecent, and a law prohibited shoe tips longer than two inches. In France, King Charles V ruled against them because Crakows made kneeling for prayer difficult.
For safety, should we revert to grass-lined moccasins or just stick with sensible shoes?
Always a good way to rest your feet. At your favorite bookseller.The post Medieval Fashion Foisted Falls and Fractures appeared first on About Bone.
A Medieval Fashion Foisted Fractures
The first shoe? Not much of a fashion statement.Crudely made grass-lined moccasins may have been the first foot protection worn by humans starting as far back as 20 to 40 thousand years ago.

.
Fashion pressures eventually prevailed, and shoe design took a great leap forward in about 1400. For the next 150 years it was trendy among the European upper classes to wear ornately embroidered shoes with extremely pointed toes, which extended beyond the owner’s foot anywhere from four to twenty inches. These were known as Crakows, which reflected their likely origin from Krakow, Poland. Crakows were high fashion for both men and women and were a key element in demonstrating the owners’ social rank—the longer the toe, the higher the status. At times, a silver or gold chain reaching from knee to shoe tip was used to keep the wearer from tripping. However, this deference to style came with a hidden price. The shoes wedged the toes together unnaturally, which led to bunions and fractures.
Left: normal alignment Center and Right: laterally deviated big toeFirst, what is a bunion? Known in medicalese as hallux valgus, it is a deviation of the big toe (hallux in Latin). Rather than pointing straight ahead, the big toe points toward the outside of the foot. Accompanying the angular deformity is a large bump in the inside of the foot at the base of the big toe. In extreme cases, the big toe angles sufficiently that it overlaps the second or even the third toe. Genetics, variations in alignment of adjacent bones, and muscle imbalance can predispose an individual to hallux valgus, but the most common cause is wearing pointy-tipped shoes that unnaturally scrunch the toes together and push the big toe to the side. In medieval times, Crakows were culprits. Louboutin’s are today.
Next, how do bunions relate to fractures? The big toe contributes greatly to balance and gait, and individuals with hallux valgus have diminished standing stability and increased postural sway compared to those with normally aligned toes. This detrimental influence on gait results in increased risks of falling and breaking bones.
Finally, how do we know that medieval fashionistas had bunions and broken bones? The answer comes from an intriguing study published last year in the International Journal of Paleopathology. In case you are behind in your journal reading, here is the gist of the investigation.
The researchers examined the skeletal remains of 177 adult individuals who had been buried in one of four cemeteries located in or near Cambridge, England. The oldest cemetery was at Cherry Hinton, which was an agricultural center. Burials there started about 950 and continued for 200 years, and the researchers assumed the exhumed skeletons to be those of the local, rural peasants. For the study, the skeletons from Cherry Hinton served as historic controls, since Crakows were not in style when this cemetery was accepting bodies.
Two middle groups were sensibly shod even though they lived when Crakows were the rage. The Hospital of St. John the Evangelist cared for the poor and infirm, so logically its cemetery served the same demographic. The parishioners of All Saints by the Castle were apparently a cross-section of Cambridge social classes, so the church’s cemetery logically represented a similar mix, and Crakows were not likely prevalent.
The fashionistas comprised the fourth group, and they might have even been buried with their Crackows on. Their cemetery was at an Augustinian friary, which was the resting place not only for members of the Augustinian order, who drew criticism for wearing “fashionable tight shoes,” but also for prosperous Cambridgians whose donations secured them preferred burial plots.
Left: normal alignment with the joint at the base of the big toe aligned perpendicular to the long axis of the foot. Right: a tilted joint surface indicates a bunion even if the skeleton is no longer intact.Using standard anthropological means, the investigators categorized each skeleton according to its age at death and its sex. They next scrutinized the foot bones for telltale signs of bunions. These findings include an angular shift of the joint surface at the big toe’s base along with bony erosions and altered ridging and lipping, which are characteristic findings of chronic joint malalignment. Finally, the researchers examined the entirety of each skeleton for healed fractures.
Data analysis showed that 45% of the friars and 40% of layfolk buried at the friary had bunions, while only 3% of the Cherry Hinton peasants did. The sensibly shod had intermediate incidences of bunions. Furthermore, the investigators discovered that individuals, particularly older folk, with hallux valgus had sustained significantly more broken bones than had individuals with straight toes.
Allowing for some assumptions and circumstantial evidence, the study concludes that wearing Crakows caused wealth-induced bunions, which created gait and balance problems that led to falls and fractures—all recorded in the bones.
Falls and fractures, however, may not have been the cause of the fad’s demise. Rather the English eventually deemed Crakows indecent, and a law prohibited shoe tips longer than two inches. In France, King Charles V ruled against them because Crakows made kneeling for prayer difficult.
For safety, should we revert to grass-lined moccasins or just stick with sensible shoes?
Always a good way to rest your feet. At your favorite bookseller.The post A Medieval Fashion Foisted Fractures appeared first on About Bone.
March 28, 2022
Can Turtles Fly?

In the Midwest, where I grew up, April is when box turtles emerge from hibernation deep in the woods and crawl to less secluded areas to perform their summer activities. This transition often requires crossing country roads, and the turtles occasionally cause car accidents as drivers mercifully try to avoid hitting these armored critters.
What’s the nature of their armor? It comes in two major parts. The carapace is the domed upper shell and represents transformed ribs and vertebrae that have spread out and fused together. The plastron forms the flat “belly” and likely developed from an expanded breastbone and possibly from abdominal ribs. Abdominal ribs, known as gastralia, are present in modern-day crocodiles, alligators, and some lizards. Gastralia also strengthened the abdominal walls in many dinosaurs, including Tyrannosaurus rex.
Bony plates comprising the carapace (left) and plastron (right) of the desert tortoise (Gopherus agassizii). (Nevada State Museum.)
Apalachiosaurus with gastral basket (abdominal ribs). (Denver Museum of Nature and Science)Covering the tightly interdigitated bony plates that constitute the plastron and carapace are shield-like osteoderms—bony deposits in the skin, from which turtles derive their patterned coloration. Osteoderms are not part of the skeleton but, nonetheless, make themselves available for fossilization and examination millions of years later. Consequently, we not only know about prehistoric turtles and their predecessors but also about armadillos (mammals), past and present, that also tote osteoderms.
Upper left: Osteoderms on Gargoyleosaurus parkinorum, 145 million years old. (Denver Museum of Nature and Science)Lower left: Osteoderms (and skull) on a modern-day crocodile. (Museum and Art Gallery of the Northern Territory, Australia)Above:
Upper Right: The giant armadillo, Glyptodon, was 9 feet long and ranged over South American and lower North America, became extinct 11,500 years ago. (Tellus Museum of Science)
Lower Right: The extant nine-banded armadillo, Dasypus novemcinctus, is 30 inches long from tip to tail and is found in South, Central, and North America. (Museum of Osteology)
As beautiful and amazing as turtle shells are, they get really interesting when examined from the inside. Only the vertebrae in the neck and tail move on one other, while most of the spine and all the ribs are fused to the inner surface of the shell—a stiff back indeed. What astounds me and until recently has also confounded biologists is that a turtle’s shoulder blades are inside its rib cage rather than outside as they are on all amphibians, other reptiles (including birds), and mammals. Investigators have recently compared the embryologic development of mice, chicks, and turtles. All of these animals start out the same way, but then turtles experience an enfolding of the body wall, and the shoulder blades end up inside.
Cut-away specimens show shoulder blades (arrows) inside the rib cage and the mobile neck and tail bones. (Above: French National Museum of Natural History. Below: Nevada State Museum.)Despite the shell’s strength and its unique skeletal anatomy, a turtle typically comes out on the losing end of an encounter with an automobile, but not always. There are two reports of turtles being flipped into the air by a passing car and crashing through the windshield of a following vehicle. In both instances, the startled occupants and the turtles sustained only minor injuries. Way to go, turtle shells. This is yet one more reason to drive carefully.
Here are two more.
Galapagos Tortoise (Los Angeles County Museum of Natural History)
The largest turtle ever, Archelon ischyros, measured 11.5 feet head to tail and became extinct about 66 million years ago. Its spiky plastron is visible through the fenestrated carapace. (Yale Peabody Museum)The post Can Turtles Fly? appeared first on About Bone.
February 10, 2022
Whale Bones, Undergarments, and Valentine’s Day
Think of a bone. The image that usually comes to mind is a hard, white tube with knobby ends. In many instances, that is an accurate perception; but there are major exceptions that make bone even more interesting and valuable, especially for repurposing after the original owner passes on. A great example is a sperm whale’s jaw bone, which may be 25 feet long. Conical teeth the size of drinking glasses stud the forepart and often have been decorated with scrimshaw. Perhaps less well recognized is the multipurpose value of the hind part of the leviathan’s mandible, where it contacts the skull. There it is broad, flat, and thin and has been used for centuries for fabricating objects both functional and aesthetic. Today we might start a similar project using poster board or a sheet of plastic or canvas.
Sperm whale jawbones. Left, Harvard Museum of Natural History. Right, New Bedford Whaling MuseumVikings were perhaps the first to take advantage of this smooth, durable crafting material and cut the jawbone into dragon-headed trays. Their purpose remains unknown. Speculation suggests that these plaques were food trays or cutting boards or even forms around which to wrap clothing to limit wrinkling. Inuits crafted jawbones into snow knives and used them to trim large blocks of snow that then fit snuggly together to form igloos.
Left: Viking plaque 8.7″ x 7.1″, British Museum. Right: Inuit snow knives, SmithsonianNineteenth century whalers were the hands-down champions at repurposing the sperm whales’ jaw bones. On their multiyear voyages, the seafarers had easy access to these bones, which would otherwise be discarded, and they had ample free time on their return trips from the whaling grounds to develop and improve their artistic skills.
In 1843, Joseph Bogart Hersey, third mate on the whaling schooner Esquimaux out of Providencetown, Massachusetts, wrote, “This afternoon we commenced sawing up the large whale’s jaws that we captured in company with [the schooner] Belle Isle on the 14th; the bone proved to be pretty good and yielded several canes, fids, and busks. I employed a part of my time in engrav[ing] or flowering two busks. Being slightly skilled in the art of flowering; that is drawing and painting upon bone; steam boats, flower pots, monuments, balloons, landscapes &c &c &c; I have many demands made upon my generosity, and I do not wish to slight any; I of course work for all.”
Herman Melville, in Moby-Dick (1851), noted, “… in general, they toil with their jack-knives alone; and, with that almost omnipotent tool of the sailor, they will turn you out anything you please, in the way of a mariner’s fancy.”
Left to right: ditty box, work basket, violin, chair, all from New Bedford Whaling Museum. Right: humidor, Pinterest.The purposes for most of the crafted objects are immediately obvious, but not so for semi-rigid strips that lonely whalers meticulously inscribed and gave to their loved ones on their return home. These were busks, which were inserted into a pocket on the front of nineteenth century corsets to keep undergarments upright and straight. Held close to his loved-one’s heart, the busk also served as a remembrance of love and devotion during the seafarer’s next long absence.
New Bedford Whaling MuseumIn modern times, gifts of hand-inscribed busks have morphed into ones of roses and chocolate as expressions of Valentine sentiments. Yet they are not nearly as personal, endearing, or enduring as whalebone busks. Could they make a comeback if corsets again became fashionable?
Happy Valentine’s Day. Please encourage your Valentines and social media contacts to subscribe to www.aboutbone.com
Assorted busks, New Bedford Whaling MuseumThe post Whale Bones, Undergarments, and Valentine’s Day appeared first on About Bone.
December 8, 2021
Holiday Shopping Guide for Books About Bone
You can never go wrong considering “bone” when choosing holiday gifts for the discerning and hard-to-please. Past December posts have described gifts from the ridiculously economical (Holiday Gift Guide for Frugal Bone Lovers) to the breathtakingly expensive (Extravagant Gifts for Bone Lovers). This year’s recommendations focus on books.
Written in Bone. Hidden Stories in What We Leave Behind. Author Sue Black, 2020.
Sue Black, a British forensic anthropologist and anatomist, starts at the skull and ends 10 chapters later at the toes. She mixes interesting facts about how each of the bones in our skeleton forms and what they can (or cannot) reveal about the lives of the original owners. She makes it clear that forensic pathologists and forensic anthropologists lead grim lives. The former are called on to determine the cause of death that occurred in recent times. The latter are experts in examining remains regardless how old and opine regarding their human vs. non-human origins, sex, age, stature, and diet. The author explains how this is possible and enriches the descriptions with examples from her own worldwide experience. Some of the cases involve fingerprints, hair, teeth, and other non-osseous clues. At first, I was miffed by this apparent diversion from the title, Written in Bone; but when I accepted the title as an eyecatcher, then the subtitle accurately describes the book’s contents. This book is not for the faint of heart. Some of her findings and descriptions are outright grisly and macabre. If you like CSI, however, you fill find Black’s writing informative, engaging, and at times even humorous.
Fossil Men, The Quest for the Oldest Skeleton and the Origins of Humankind. Author Kermit Pattison. 2020.
Do your gift recipients take an interest in the study of ancient humans and their predecessors? Would they like to read about scientists’ interpersonal spats mixed in with the dangers and frustrations of Ethiopian tribal warfare and government instability? Would a non-fiction book that at times reads as if it had to be fabricated ring their bell? If so, this book might be a good pick. It recounts the ever-changing and at times infuriating mix of fossils, territory, research money, and Ethiopian governmental bureaucracy when paleoanthropologists were seeking and finding humanoid fossils older than Lucy, dated at 3.2 million years. At times Pattison goes into far more detail describing and comparing the lumps and grooves on individual bones than most general readers can manage, but they can scan these sections and still come away with a respect for the scientists who sweat their summers away in sand pits half way around the world with paintbrush and trowel in hand.
Bones. Recipes, History, and Lore. Author Jennifer McLagan, 2005.
Can you believe that there is an entire cookbook devoted to bones? Well, at least to the meat with the bones still attached. The author, a professional cook and food writer, makes a strong case that beef, veal, pork, lamb, poultry, fish, and game taste better when cooked on the bone. Unfortunately, we often sacrifice taste, texture, and presentation for the sake of convenience and choose boneless cuts. To remedy these gastronomic oversights, McLagan devotes individual chapters to each source of meat and describes both simple and complex preparations where the intrinsic flavors of the bones greatly enhance the dishes. Does an olive-crusted lamb rack or crown roast of pork sound good? Maple tomato glazed ribs? Coconut chicken curry? Halibut steaks with orange cream sauce? Duck legs with cumin, turnips, and green olives? Roasted marrow bones with parsley salad? The book is peppered with numerous full-color photographs of the final presentations, which makes the work suitable for residence on the coffee table when it is not at work in the kitchen. Should dinner conversation regarding the meal itself finally wane, McLagan salts the book with interesting facts including wishbone lore, fish bone superstitions, and interpretation of bones appearing in dreams. This book is probably not the best gift choice for vegetarians.
Bones, Inside and Out. Author Roy A. Meals, MD. 2020.
For readers who may not want to read a whole book about forensic anthropology, paleoanthropology, or cooking, but who would like broad information about the world’s best building material, this compendium is the obvious choice. The author describes the composition and structure of bone in nontechnical terms and demystifies how bones form, grow, break, and heal. He highlights medical innovations from the first X-rays to advanced operative techniques and the orthopedic giants who developed them. Meals goes on to describe the diverse roles bone has played in in the story of life and human culture, from paleontology and anthropology to religion and literature, including Adam’s rib and Yorick’s skull. Overall, Bones is informative, approachable, and entertaining, and it now available in paperback. Since you have read this far, the author will send a signed bookplate to giftees of your choice. Just click on “contact” in the upper right corner of the web page and indicate the recipients’ names and snail mail addresses. Each plate will arrive in early January so as not to spoil the recipients’ surprise and delight when you give them this treasure during the upcoming holidays.
Happy Holidays!
The post Holiday Shopping Guide for Books About Bone appeared first on About Bone.
November 22, 2021
A Bone Lover’s Thanksgiving Nightmare

Shortly after spending our first Thanksgiving together nearly 50 years ago, I surprised my wife. It wasn’t that she saw me boiling the denuded turkey carcass, but rather that I ignored the resultant stock and was attempting a skeletal reassembly of the bare bones. My passion for bones has only increased since then, a passion that she begrudgingly accepts, especially every November.
Around Thanksgiving dinner tables everywhere, faces should brighten when bone lovers direct the conversation from politics and sports to the rich cultural history of wishbones. (See previous blog post Twelve No-Fail Conversation Starters Regarding Wishbones.) Should that conversation wane, a discussion of transforming a turkey’s wing bones into trumpet-like turkey callers will undoubtedly rouse diners again from tryptophan lethargy. (See previous blog post It Takes a Turkey to Call a Turkey.)
Consider then the horror of having to endure a boneless Thanksgiving. The modern roots of this nightmare originated in the 1980’s, maybe from the kitchen of Cajun chef Paul Prudhomme. The NFL TV commentator John Madden extolled this unusual preparation’s tasty virtues widely during his Thanksgiving Day football broadcasts. Not only have all the bones except from wings and legs been extracted from the turkey, its floppy remains are then stuffed with a completely deboned duck, which has been previously stuffed with a completely deboned chicken. The combo becomes a “turducken”, a compression of the words turkey duck chicken. Three fowls down, no wishbones to go.
Before I might campaign for an outright ban of such an osseous sacrilege, I decided to know my enemy and try turducken. YouTube videos describe the required ghastly serial deboning and reassembling, which also involves stuffing any interior voids with cornbread and, according to one’s interest in recreating Cajun authenticity, adding some andouille sausage or crayfish. More interested in the result than the process, I turned to Amazon. Over the next two days, my turducken flew from Louisiana to Los Angeles surrounded by dry ice and Styrofoam.
It took three days to thaw in the fridge. I decided to roast the eleven-pound mass on the barbeque rather than in the oven, which might again risk marital harmony. After about 6 hours at 325oF it was approaching the requisite 165oF in the deepest reaches of the chicken, and another 30 minutes with chimera uncovered brought its skin to a golden brown. My wife and I agreed that it smelled good, perhaps partly because it was now two hours after our usual dinner time.

It sliced like a loaf of bread, far easier than carving a conventional turkey, particularly so because I didn’t have to work the knife carefully around any skeleton, including precious wishbones. The turducken tasted good. Each bite was a separate surprise because, somewhat by sight and certainly by taste, the roasting juices had blurred demarcations between the tur, duc, ken, stuffing, and sausage. But I guess that’s the whole point.

Would I do it again? Yes, but only if the fileted bones came along in a separate packet. Then I could sleep blissfully.
Happy Thanksgiving!
The post A Bone Lover’s Thanksgiving Nightmare appeared first on About Bone.
October 25, 2021
A Plea for Anatomical Correctness at Halloween–With Reader Updates.
Last October I blogged about Halloween costumes and the importance of being anatomically correct when stepping out as a skeleton. I am sure that bone lovers everywhere are equally tetchy about other anatomically incorrect Halloween accoutrements, because if the manufacturer has taken liberties with anatomical accuracy, we would have to question both their world view and commitment to all-around quality.
Let’s start with a biology refresher. Worms, obviously, do not have bones, but neither do some critters that crunch when stepped on. For instance, insects, spiders, and crustaceans (lobsters, shrimp, etc.) have exoskeletons made from thin, waterproof, semirigid shells of chitin. This certainly is a successful means of protection and support, but it presents a problem when the owners want to expand, They have to crawl out of their skeletons and grow a new ones. In the interim, they are vulnerable to predation and may turn into soft-shelled crab sandwiches. Clams, snails, scallops, and oysters avoid this perilous transition by merely making regular additions to the edges of their calcium-based exoskeletons and gradually enlarge them without having to leave home.
Animals with spines (vertebrates) have endoskeletons. For sharks, that means rubbery cartilage (the same material that constitute our noses and external ears). Bony fish, and amphibians (frogs, salamanders, etc.), reptiles including birds, and mammals (including us) have skeletons made of rigid, calcium-laden bone. Its durability allows bone to preserve evidence of formerly living animals, which is integral to the concept of Halloween.
After this brief biology overview, you can probably spot what is wrong in these pictures.


Look at the ears on the dog and horse. They are as out of place on a skeleton as a stocking cap or moustache would be. Worse, however, are the lobster and spider. My spine shudders to see them represented with bony endoskeletons rather than with their naturally occurring chitin armor.
On viewing the original version of this post earlier today, sharp-eyed bone lovers also identified several disturbing errors in skeletal anatomy on the human in the foreground. The lower legs are on the wrong side. (The thicker bone, the tibia, should be on the inside of the thinner bone, the fibula, on the outside.) The right hip is dislocated, which may account for the pained expression on the skeleton’s face. It looks like there are eight sets of ribs rather than twelve. At least the human skeleton is not sporting bone ears as do the horse and dog.
As you come across Halloween decor this week, please document other bone infractions and send photos to info@aboutbone.com. I will notify the Bone Police immediately. I know, it’s frightful, but then, that’s what Halloween is about.
***************
And if you find Halloween’s disrespect of bones irksome, it gets worse. Watch for A Bone Lover’s Thanksgiving Nightmare, coming soon.
***************
For Halloween and all other special occasions, no gift is in finer taste or will be more appreciated than a copy of Bones, Inside and Out, now also available in Russian.

WW Norton Amazon Apple Books Barnes and Noble Books-a-Million Bookshop Hudson IndieBound Target Walmart
The post A Plea for Anatomical Correctness at Halloween–With Reader Updates. appeared first on About Bone.
A Plea for Anatomical Correctness at Halloween
Last October I blogged about Halloween costumes and the importance of being anatomically correct when stepping out as a skeleton. I am sure that bone lovers everywhere are equally tetchy about other anatomically incorrect Halloween accoutrements, because if the manufacturer has taken liberties with anatomical accuracy, we would have to question both their world view and commitment to all-around quality.
Let’s start with a biology refresher. Worms, obviously, do not have bones, but neither do some critters that crunch when stepped on. For instance, insects, spiders, and crustaceans (lobsters, shrimp, etc.) have exoskeletons made from thin, waterproof, semirigid shells of chitin. This certainly is a successful means of protection and support, but it presents a problem when the owners want to expand, They have to crawl out of their skeletons and grow a new ones. In the interim, they are vulnerable to predation and may turn into soft-shelled crab sandwiches. Clams, snails, scallops, and oysters avoid this perilous transition by merely making regular additions to the edges of their calcium-based exoskeletons and gradually enlarge them without having to leave home.
Animals with spines (vertebrates) have endoskeletons. For sharks, that means rubbery cartilage (the same material that constitute our noses and external ears). Bony fish, and amphibians (frogs, salamanders, etc.), reptiles including birds, and mammals (including us) have skeletons made of rigid, calcium-laden bone. Its durability allows bone to preserve evidence of formerly living animals, which is integral to the concept of Halloween.
After this brief biology overview, you can probably spot what is wrong in these pictures.


Look at the ears on the dog and horse. They are as out of place on a skeleton as a stocking cap or moustache would be. Worse, however, are the lobster and spider. My spine shudders to see them represented with bony endoskeletons rather than with their naturally occurring chitin armor.
As you come across Halloween decor this week, please document other bone infractions and send photos to info@aboutbone.com. I will notify the Bone Police immediately. I know, it’s frightful, but then, that’s what Halloween is about.
***************
And if you find Halloween’s disrespect of bones irksome, it gets worse. Watch for A Bone Lover’s Thanksgiving Nightmare, coming soon.
***************
For Halloween and all other special occasions, no gift is in finer taste or will be more appreciated than a copy of Bones, Inside and Out, now also available in Russian.

WW Norton Amazon Apple Books Barnes and Noble Books-a-Million Bookshop Hudson IndieBound Target Walmart
The post A Plea for Anatomical Correctness at Halloween appeared first on About Bone.
August 3, 2021
Fossil Men

Have you exhausted your “to-read” pandemic book list? Do you take an interest in the study of ancient humans and their predecessors? Would you like to read about scientists’ interpersonal spats mixed in with the dangers and frustrations of Ethiopian tribal warfare and government instability? Does a non-fiction book that at times reads as if it had to be made up ring your bell? If so, Fossil Men, The Quest for the Oldest Skeleton and the Origins of Humankind by Kermit Pattison (Willliam Morrow, 2020) might be a good pick.
Early on, Pattison describes paleoanthropology: “Fossils, territory, and money were the raw materials of the discipline.” Following the 1974 discovery of “Lucy”, a 3.2-million-year-old pre-human skeleton in Ethiopia, teams of paleoanthropologists intensified their search for even older skeletons that could fill in and confirm or deny prevailing theories about the timing and pattern of human evolution. Lucy clarified that our ancestors first came out of the trees and walked upright, and then later they developed larger brains. But this information pushed farther back in time the questions of when and how. Older fossils would be enlightening.
Regarding territory, the Great Rift Valley slashes through Tanzania, Kenya, and Ethiopia. The Rift is prime fossil-hunting territory. Africa is generally considered to be the home of pre-human forms, and this long valley provides ample opportunity for bones to get washed into the basin, buried, fossilized, and then possibly exposed millions of years later. Lucy was discovered in Ethiopia; and further south in Tanzania Mary Leakey and her team discovered fossilized footprints of a humanlike creature who walked upright, 500,000 years before Lucy. How long before that had ape-like creatures abandoned knuckle walking?
After these discoveries, the Great Rift Valley, and especially its portion in northern Ethiopia, was an obvious place to intensify the search for older fossils, but this was complicated by territorial conflicts of two sorts. Warring tribes ranged over the area and were wary, and at times overtly hostile, to one another and even more so to khaki-clad foreigners driving Jeeps.
The other conflict simmered in the government offices in Addis Ababa after the military overthrow of long-time Ethiopian emperor Haile Selassie in 1974. The Ethiopians were justifiably proud of their country’s recognition as the location of Lucy’s discovery and her role in the story of human evolution. They were miffed, however, that the limelight focused on the foreign scientists and their inclinations to remove these world-heritage artefacts from their native land. These territorial issues were compounded further by changes in administrative leadership and some backscratching regarding allocation of territories for fossil-hunting rights to one team over another. Sometimes a team would sit in Addis Ababa for weeks waiting for authorizations to be signed. At times, the fossil fields were closed to exploration for years, perhaps on no more than a whim of a local official.
Regarding money, the expeditions, which were mostly from America, lasted four to five months and involved scores of scientists, grad students, camp workers, and guards. The fossil fields were a two-day drive from Addis Ababa and entirely remote; so electricity generation, water purification, and sanitation systems all required attention. Detailed casts were made of the recovered fossils that were not permitted to leave Ethiopia. Other fossils were smuggled out. At home, the investigators could study the material but needed salary support to do so. The National Science Foundation was instrumental in providing competitive grants, but some of the teams had sufficiently alienated one other regarding disputed claims that impartial reviewers of grant proposals were sparse to non-existent. Leaders in the field sometimes went unfunded and had to pare down their ambitions and also seek private support.
In addition to issues of fossils, territory, and funding, the involved paleoanthropologists seemed to have big egos, at least the ones who tended to make themselves known. Perhaps this is not surprising since they sweat for months with their noses pressed to the sand. They get excited when they discover even a solitary tooth, from which they claim, with some authority apparently, that they can identify the species of its owner.
Ardipithecus ramidus, courtesy T. Michael Keesey, WikipediaInfighting was further compounded by the fact that the team who identified a 4.2-million-year-old possible human predecessor, Ardipithecus ramidus, nicknamed Ardi. The discoverers announced their find but did not let other scientists examine the fossils, nor did they report their analysis in the peer-reviewed scientific literature for 15 years. In the meantime, however, the finders infuriated other paleoanthropologists at meetings and in publications by discounting competing teams’ findings based on their own, but unpublished, discoveries.
The book was meticulously researched over a decade and is based on interviews with many of the principle … um … characters. Photographs of the digs, the diggers, and their finds are enlightening. Sometimes the perseverations over the meaning of an individual groove or shape of a facet on a single hand or foot bone become tediously long, especially in a book for lay readers and when the details of interest were not illustrated. You can scan those machinations without missing the book’s gist. After you’ve read Fossil Men, let me know what you think.
Related posts
Lucy, where are the rest of your bones?
Genuine hate produced the Bone Wars.
The post Fossil Men appeared first on About Bone.


