Tom Stafford's Blog, page 62
November 4, 2012
Brain’s nothingness centre found
Collectively Unconscious has a satirical post entitled “Brain region found that does absolutely nothing”.
Neuroscientists at the University of Ingberg have found a brain region that does absolutely nothing. Their research, presented at the annual Society for Neuroscience meeting, showed that a small region of the cortex located near the posterior section of the cingulate gyrus responded to ‘not one of our 46 experimental manipulations’…
“Over the months that followed we tried everything we knew, with over 20 different participants. IQ tests, memory tasks, flashing lights, talking, listening, imagining juggling, but there was no response. Nothing. We got more desperate, so we tried pictures of faces, TMS, pictures of cats, pictures of sex, pictures of violence and even sexy violence, but nothing happened! Not even a decrease. No connectivity to anywhere else, not even a voodoo correlation. 46 voxels of wasted space. I know dead salmons that are more responsive.”
Clearly the problem here is a lack of imagination.
A recent (genuine) study simply ran the same experimental data from an fMRI scanning session through 6,912 different possible ways of conducting the analysis.
Suddenly, activity popped up all over the brain.
As Einstein said “Imagination is more important than knowledge, because even though science strives to be an objective body of knowledge driven by a systematised method for accurately discovering causal relationships, in reality, it’s a bun fight”.
Pretty sure that was Einstein. Hang on, I’ll just check my stats. Yep, yes it was.
Link to satirical post on Collectively Unconscious.


The psychology of everything in 48 minutes
Psychologist Paul Bloom has made a fantastic video for Big Think that introduces pretty much the whole of psychology in 48 minutes.
It’s a brilliant and engaging introduction to the science of mind. Highly recommended.
Link to ‘Paul Bloom: The Psychology of Everything’ on YouTube.


November 3, 2012
A cultural understanding of autism
Nature has a fascinating article on the diagnosis of autism and how it clashes with cultures that have different forms of everyday social interaction and different standards for how children should behave.
In rural South Africa, young children may look at adults’ faces while having a conversation, but they don’t usually make direct eye contact because it is considered disrespectful. Yet a lack of eye contact is a hallmark of social deficits in people with autism, and as such it is something Western clinicians look for when diagnosing the disorder.
There are other examples of children’s behaviour – such as finger pointing to draw attention to something, or conversing with adults as if they are peers – that are commonplace in the West and included in tests of autism.
The ‘gold standard’ for diagnosing autism is a combination of the ADOS, a set of structured tasks to observe interaction with the person concerned, and the ADI, an interview with the caregiver to see how any difficulties have emerged over time.
As both were developed in London, they are based on Western / European model of social interaction. The risk is that other forms of cultural interaction can be wrongly interpreted as signs of impairment.
It’s worth saying that many cases of autism are unmistakeable as difficulties in social interaction can be quite marked.
However, as the concept of the autism spectrum has become more common, what can be variously and unsatisfactorily described as ‘high functioning’, ‘atypical’ or ‘mild’ autism, usually where difficulties are not immediately obvious, is where there is more room for cultural confusion.
The Nature article describes how various cultural tendencies eddy and flow around the concept of autism and how clinicians are now attempting to navigate the choppy waters of diagnosis.
Link to excellent Nature article on culture and autism.


October 29, 2012
BBC Future column: The Psychology Of Tetris
Last week’s BBC Future column. The original is here. There’s a more melancholy and personal version of this column I could have written called ‘I lost years of my life to Sid Meier’s ‘Civiliation’, but since the game is now out on iphone I didn’t have time to write it.
How the secret to the popular game’s success is that it takes advantage of the mind’s basic pleasure in tidying up and uses it against us.
Shapes fall from the sky, all you have to do is to control how they fall and fit within each other. A simple premise, but add an annoyingly addictive electronica soundtrack (based on a Russian folk tune called Korobeiniki, apparently) and you have a revolution in entertainment.
Since Tetris was launched on the world in 1986, millions of hours have been lost through playing this simple game. Since then, we’ve seen games consoles grow in power, and with it the appearance of everything from Call of Duty to World of Warcraft. Yet block and puzzle games like Tetris still have a special place in our hearts. Why are they are so compelling?
The writer Jeffrey Goldsmith was so obsessed with Tetris that he wrote a famous article asking if the game’s creator Alexey Pajitnov had invented “a pharmatronic?” – a video game with the potency of an addictive drug. Some people say that after playing the game for hours they see falling blocks in their dreams or buildings move together in the street – a phenomenon known as the Tetris Effect. Such is its mental pull, there’s even been the suggestion that the game might be able to prevent flashbacks in people with PTSD.
I had my own Tetris phase, when I was a teenager, and spent more hours than I should have trying to align the falling blocks in rows. Recently, I started thinking about why games like Tetris are so compelling. My conclusion? It’s to do with a deep-seated psychological drive to tidy up.
Many human games are basically ritualised tidying up. Snooker, or pool if you are non-British, is a good example. The first person makes a mess (the break) and then the players take turns in potting the balls into the pockets, in a vary particular order. Tetris adds a computer-powered engine to this basic scenario – not only must the player tidy up, but the computer keeps throwing extra blocks from the sky to add to the mess. It looks like a perfect example of a pointless exercise – a game that doesn’t teach us anything useful, has no wider social or physical purpose, but which weirdly keeps us interested.
There’s a textbook psychological phenomenon called the Zeigarnik Effect, named after Russian psychologist Bluma Zeigarnik. In the 1930s, Zeigarnik was in a busy cafe and heard that the waiters had fantastic memories for orders – but only up until the orders had been delivered. They could remember the requests of a party of 12, but once the food and drink had hit the table they forgot about it instantly, and were unable to recall what had been so solid moments before. Zeigarnik gave her name to the whole class of problems where incomplete tasks stick in memory.
The Zeigarnik Effect is also part of the reason why quiz shows are so compelling. You might not care about the year the British Broadcasting Corporation was founded or the percentage of the world’s countries that have at least one McDonald’s restaurant, but once someone has asked the question it becomes strangely irritating not to know the answer (1927 and 61%, by the way). The questions stick in the mind, unfinished until it is completed by the answer.
Game theory
Tetris holds our attention by continually creating unfinished tasks. Each action in the game allows us to solve part of the puzzle, filling up a row or rows completely so that they disappear, but is also just as likely to create new, unfinished work. A chain of these partial-solutions and newly triggered unsolved tasks can easily stretch to hours, each moment full of the same kind of satisfaction as scratching an itch.
The other reason why Tetris works so well is that each unfinished task only appears at the same time as its potential solution – those blocks continuously fall from the sky, each one a problem and a potential solution. Tetris is a simple visual world, and solutions can immediately be tried out using the five control keys (move left, move right, rotate left, rotate right and drop – of course). Studies of Tetris players show that people prefer to rotate the blocks to see if they’ll fit, rather than think about if they’ll fit. Either method would work, of course, but Tetris creates a world where action is quicker than thought – and this is part of the key to why it is so absorbing. Unlike so much of life, Tetris makes an immediate connection between our insight into how we might solve a problem and the means to begin acting on it.
The Zeigarnik Effect describes a phenomenon, but it doesn’t really give any reason for why it happens. This is a common trick of psychologists, to pretend they solved a riddle of the human mind by giving it a name, when all they’ve done is invented an agreed upon name for the mystery rather than solved it. A plausible explanation for the existence of the Effect is that the mind is designed to reorganise around the pursuit of goals. If those goals are met, then the mind turns to something else.
Trivia takes advantage of this goal orientation by frustrating us until it is satisfied. Tetris goes one step further, and creates a continual chain of frustration and satisfaction of goals. Like a clever parasite, Tetris takes advantage of the mind’s basic pleasure in getting things done and uses it against us. We can go along with this, enjoying the short-term thrills in tidying up those blocks, even while a wiser, more reflective, part of us knows that the game is basically purposeless. But then all good games are, right?

October 28, 2012
Plug n’ play cosmic dust brain t-shirt
The Imaginary Foundation do an amazing t-shirt of someone plugging in a huge cosmic dust covered brain. It’s available in guys and gals styles but sadly doesn’t come with any cosmic dust to make your own accessories.

A brief reheating of the refrigerator mother
The Telegraph has a well-intentioned but confused article about how child neglect affects the brain and what can be done about it.
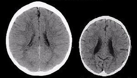
What’s the difference between these two brains? asks The Telegraph. “The primary cause of the extraordinary difference between the brains of these two three-year-old children,” says the journalist, “is the way they were treated by their mothers.”
According to the paper “The child with the much more fully developed brain was cherished by its mother, who was constantly and fully responsive to her baby. The child with the shrivelled brain was neglected and abused.”
Firstly, it’s worth saying that reduced brain size is clearly related to neglect and abuse but the images are not a typical representation of this.
These scans were originally published in an article on child abuse by neuroscientist Bruce Perry who drew them from an unpublished abstract [pdf] of a study on neglect in children, which didn’t control for malnutrition or drug exposure during pregnancy.
They’re described as showing CT scans of three-year-olds, one normal and the other neglected who has a head size smaller 97% of children his or her age. This would make him or her almost diagnosable with microcephaly, a neurological disorder of small head size usually caused by a genetic defect.
This difference in brain size has actually been found in those without the genetic defect. In fact, this difference was found in a study of severely neglected Romanian orphans but severe malnutrition was also a significant factor.
In other words, unless you include ‘starvation’ under the concept or ‘poor interaction with the mother’ the scans really don’t represent what typically happens to children who are emotionally neglected.
Oddly, the Telegraph article spins brain development as specifically depending on the mother, giving an undercurrent of traditional mother-blaming.
Neurologists are beginning to understand exactly how a baby’s interaction with their mother determines how, and indeed whether, the brain grows in the way that it should.
The ghost of the refrigerator mother rises again.
The piece is full of other neurological howlers: “Eighty per cent of brain cells that a person will ever have are manufactured during the first two years after birth” is just baffling, considering we are born with almost all the neurons we will ever have.
The number of synapses – connections between brain cells – does increase after birth but at most by about two thirds. The number peaks between about one and four years, depending on the brain area, and then it rapidly decreases as the brain removes unused connections in a process called synaptic pruning.
The words of neuroscientist Allan Schore seem to have be carefully selected to bolster this scientific misunderstanding, despite the fact his actual quotes do not suggest that he thinks brain cells ‘grow’ after birth.
Furthermore, the idea that “if a baby is not treated properly in the first two years of life, the genes for various aspects of brain function, including intelligence, cannot operate” is seemingly a fuzzily remembered misunderstanding of the role of stress on the epigenetics of neural development.
In fact, it looks like the piece has been written to support a government commissioned report by MP Graham Allen developed from an earlier report by think tank The Centre for Social Justice.
Both present the brain scans, somewhat misleadingly, as a reasonable illustration of emotional neglect, and the first report, scientifically, is a bit ropey. The second though, is surprisingly good.
It actually talks little about the brain, doesn’t feel the need to get into mother-blaming, argues that more support is needed for young children below the age of three from early intervention programmes.
This is a valuable approach and a valid point of view, which The Telegraph article is right behind, but neither brain-shrivelling mothers nor scare tactics are needed.
Link to somewhat confused Telegraph article.
Link to scientific review on brain effects of child abuse.

October 27, 2012
British Psy Ops in Afghanistan
BBC News has an extremely rare article on the UK military’s psychological operations group and their work in Afghanistan.
The piece reports how the 15 (UK) Psychological Operations Group have been given the Firmin Sword of Peace – an accolade recognising the building of community relations awarded by, well, the UK military.
Get your plaudits where you can, that’s what I say.
Psy Ops is a combination of marketing and public relations with more targeted psychology, sociology and anthropology to measure fast moving social changes and perceptions – largely used to inform strategy and military intelligence at the local level.
The 15 (UK) Psy Ops Group rarely ever features in the media and there’s not a great deal of information about them, although most of it has been collected on this PowerBase page.
In fact, the last time 15 (UK) Psy Ops hit the headlines was when one of their unit was killed in 2008, who was most notable in the media for being the first British female solider to die in Afghanistan.
Except for that, one of the last mentions was in 2003. And now they’re press-releasing an award given to them by their own organisation and talking to reporters.
So why the PR drive? Recruitment, it seems. Commander Steve Tatham notes that “at a time most of the Armed Forces are being cut back, his unit is being expanded”.
Despite the spin, it’s not a bad article actually. Although the Group do give the ‘we’re just telling the truth’ line it does discuss the sort of approaches they take and the problems they face.
Link to BBC News article on UK Psy Ops in Afghanistan.
Link to Ministry of Defence press release.

October 26, 2012
Hark! What light through yonder neuron breaks
An unintentionally funny first line from a new study on the neuroscience of love.
The lifetime prevalence of romantic love is extremely high, as romantic love strikes nearly 100% of the people at one or more times during their life. As a comparison, the lifetime prevalence of experiencing any mental disorder is “only” 46.4% (National Institute of Mental Health, US).
The paper also has the oddly Shakespearean sounding line
By virtue of using a cognitive task with a full factorial design, we show that the dorsal striatum is not activated by beloved-related information per se, but only by beloved-related information that is attended
In fact, when Shakespeare wrote “Love looks not with the eyes, but with the mind” he was probably thinking of the role of attentional modulation in the neural response to images of your lover based on the finding that activity in the dorsal striatum is only increased when the participants have to notice rather than ignore pictures of their beloved in an fMRI-based oddball task.
Angels! I think I hear the sound of angels!
Link to locked study.

October 25, 2012
Press Release Spam (an interlude)
Sorry to interrupt your normal psych/neuro programming, but this is just a short note to say that I have retired the tom@mindhacks.com email address. If you wish to contact me or Vaughan, please tweet us (details in rightbar).
I’ve retired the email address because of the amount of PR spam I’ve been getting, which has lowered the signal to noise ratio of this account so much it isn’t worth checking anymore. One of the reasons I get so much PR spam is because people like Vocus PR are selling my email address, to publishers and University Press offices, who then send me email about things I’m not interested in. For a while I was collecting the email addresses of these people so I could block them in gmail. My list is here. I invite you to do a search for these addresses and label them spam (warning: this list contains real people from respectable organisations, but since they work in PR I am happy never to hear from them again).
If anyone can think of a good crowdsourced way of breaking the business model of people like Vocus, I’d love to hear from you.

October 24, 2012
The neuroscience of sexual attractions
A recent edition of radio programme KERA Think has a fantastic discussion on development and the neuroscience of sexual attraction in its many forms.
The programme is a discussion with Simon LeVay, a neuroscientist who raised a lot of eyebrows by finding differences in the brain structure of gay and straight men in a 1991 study.
The science has massively advanced since then and LeVay gives a fascinating and lucid account of what know about the biology of the rainbow of sexual attraction – and where the mysteries still lie.
Link to programme page with streamed audio.
mp3 of podcast.

Tom Stafford's Blog
- Tom Stafford's profile
- 13 followers
